Một nam sinh 16 tuổi rơi vào tình trạng hôn mê sâu, suy hô hấp nặng sau đuối nước đã được các bác sĩ Bệnh viện Đa khoa Vĩnh Phúc cứu sống nhờ triển khai kịp thời kỹ thuật tim phổi nhân tạo (ECMO).
Tai nạn xảy ra khi người bệnh P.G.H (16 tuổi, trú tại xã Tam Dương Bắc, tỉnh Phú Thọ) đi bơi cùng bạn bè tại khu vực sông gần nhà. Trong quá trình bơi, do không làm chủ được tình huống dưới nước, em bị đuối sức và chìm dần.
Phát hiện sự việc, những người xung quanh đã nhanh chóng đưa nạn nhân lên bờ và tiến hành sơ cứu ban đầu trong khoảng 20 phút, sau đó chuyển đến Trung tâm Y tế khu vực Tam Dương để đặt ống nội khí quản, đảm bảo hô hấp trước khi chuyển tiếp đến Bệnh viện Đa khoa Vĩnh Phúc trong tình trạng nguy kịch.
Khi nhập viện, tình trạng người bệnh rất nguy kịch: hôn mê sâu, phụ thuộc hoàn toàn vào máy thở, đồng thời xuất hiện hội chứng suy hô hấp cấp tiến triển (ARDS) ở mức độ nghiêm trọng, với chỉ số P/F (thước đo khả năng trao đổi oxy của phổi0 giảm xuống dưới 60. Bên cạnh đó, người bệnh liên tục xuất hiện các đợt phù phổi cấp, khiến tình trạng thiếu oxy trong máu ngày càng trầm trọng.

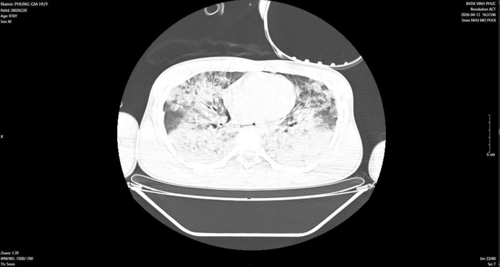
Phim chụp cho thấy phổi của người bệnh bị tổn thương nặng
Không chỉ dừng lại ở tổn thương phổi, tình trạng suy đa cơ quan cũng đã xuất hiện, kèm theo toan hô hấp phối hợp với toan chuyển hóa ngày càng nặng. Đáng chú ý, do quá trình cấp cứu ban đầu không có nhân viên y tế nên không thể xác định chính xác có xảy ra ngừng tuần hoàn hay không – yếu tố có ý nghĩa quan trọng trong tiên lượng tổn thương não sau thiếu oxy.
Ngay khi tiếp nhận người bệnh, ê-kíp hồi sức đã triển khai triệt để chiến lược thông khí bảo vệ phổi, trong đó sử dụng mức khí thở vào thấp và duy trì áp lực dương phù hợp để giữ cho các phế nang không bị xẹp, giúp cải thiện trao đổi oxy. Đồng thời kết hợp lọc máu liên tục cùng các biện pháp hồi sức tích cực khác nhằm ổn định cho người bệnh.
Tuy nhiên, sau gần 3 giờ can thiệp, tình trạng người bệnh không cải thiện, các chỉ số oxy hóa máu vẫn ở mức rất thấp, toan hỗn hợp trầm trọng. Trước diễn biến nguy kịch này, các bác sĩ đã quyết định sử dụng kỹ thuật ECMO (Extracorporeal Membrane Oxygenation – Oxy hóa màng ngoài cơ thể) đóng vai trò “cứu cánh” nhằm thay thế chức năng trao đổi oxy của phổi, tạo điều kiện để phổi có thời gian “nghỉ ngơi” và hồi phục.
Sau khi được kết nối VV-ECMO (Veno-Venous ECMO – ECMO tĩnh mạch – tĩnh mạch), tình trạng người bệnh dần được kiểm soát. Qua từng ngày điều trị, chức năng phổi bắt đầu cải thiện. Đến ngày thứ 6, các chỉ số hô hấp ổn định hơn, đủ điều kiện để dừng hệ thống ECMO. Sang ngày thứ 7, người bệnh tiếp tục được cai dần máy thở và cuối cùng có thể tự thở trở lại.
Diễn biến sau đó cho thấy kết quả điều trị rất tích cực: tri giác hồi phục hoàn toàn, các chức năng cơ quan dần ổn định. Hiện tại, người bệnh tỉnh táo, tự thở khí phòng, huyết động ổn định và dự kiến có thể xuất viện trong thời gian ngắn tới.
Chia sẻ về trường hợp người bệnh này, ThS.BS Cao Minh Trường, Trưởng khoa Hồi sức tích cực & chống độc cho biết: “Trong những trường hợp suy hô hấp cấp tiến triển (ARDS) rất nặng do đuối nước, khi các biện pháp thở máy xâm nhập tối ưu thất bại, VV-ECMO là ‘vũ khí’ cuối cùng giúp thay thế chức năng phổi.
Trước đây, những ca bệnh cần ECMO thường phải chuyển tuyến hoặc phụ thuộc vào hỗ trợ từ các chuyên gia tuyến trung ương. Tuy nhiên, hiện nay, Bệnh viện Đa khoa Vĩnh Phúc nói chung và Khoa Hồi sức tích cực & Chống độc nói riêng đã làm chủ hoàn toàn kỹ thuật này. Điều đó không chỉ giúp người bệnh được can thiệp trong “giờ vàng”, tránh được các nguy cơ rủi ro trên đường vận chuyển, nâng cao cơ hội sống cho người bệnh mà còn tối ưu hóa chi phí điều trị và tạo điều kiện để người dân được tiếp cận kỹ thuật cao ngay tại địa phương”.
Từ ca bệnh trên, các bác sĩ cũng cảnh báo nguy cơ tai nạn đuối nước có xu hướng gia tăng khi mùa hè đến gần. Việc bơi lội tại sông, hồ tự nhiên tiềm ẩn nhiều rủi ro, đặc biệt với trẻ em và thanh thiếu niên. Do đó, cần trang bị kỹ năng an toàn dưới nước, có sự giám sát khi bơi và tuyệt đối không chủ quan trước những tình huống nguy hiểm có thể xảy ra.







